今までどんな時に歯医者さんに行きましたか?
「歯が痛む時」
「歯ぐきが腫れた時」
「詰め物や冠が取れた時」
悪くなるたびに治療を繰り返していたのでは、だんだんお口の中の状態は悪くなってしまいます。
最初は小さなむし歯も治療を繰り返すうちに、神経をとったり、かぶせ物をするような大きいむし歯になり、最後には歯が使えなくなってしまうという結果になってしまっているのが今の日本の現状です。
困ったことに、歯や歯ぐきの病気は痛みもなく進んでいきます。しかし、痛くなってから治療を開始してしまうと、時間やお金も余計にかかってしまうだけでなく健康な歯や骨も失ってしまうのです。一度失った歯は一時的に補うことはできても健康な歯が再生することはありません。
統計では定期的にメインテナンスを受けていない人は平均して1年に2本の虫歯が出来るというデータが出ていす。悪くなってから治療のため歯科にかかるのではなく、悪くならないために歯科にかかりませんか?
予防歯科 Q&A
|
|
 |
年を取ったら歯は悪くなって当たり前なのでしょうか? |
 |
「年を取ったら髪の毛が抜けるように歯も抜けて当たり前だ」と思われている方がたくさんいます。残念なことですが、今の日本の現状ではその通りで、現在、80歳の方の平均残存歯数は約7本しかありません。通常、人間のお口の中には28本の歯がありますから、約4分の1しか残ってないのです。(平成17年歯科疾患実態調査)
スウェーデンにおいては75歳で平均約20本の平均残存歯数となっています。
(サンスター調べ)。この大きな差はなぜ生まれたのでしょう?
以前の日本では歯医者が削ってつめるという治療のみを行い、「なぜ、歯が悪くなったのか?どうしたら悪くならないように予防できるか」ということを考えて来なかったのです。
これがスウェーデンとの間に大きな差がついてしまった大きな原因です。歯の治療ばかりを行い、歯を残すための努力をしなかった結果です。 |
|
|
|
|
|
 |
歯を失ってしまうとどのようなことが起こるのでしょうか。 |
 |
日本は世界一の長寿の国!!しかし世界一、寝たきりの方の多い国でもあるんです。
長生きしているのだから寝たきりになって当たり前と思う方もいらっしゃるかもしれませんが、寝たきりになっている方のほとんどは残っている歯の本数がとても少ないのです。
また、むし歯や歯周病の原因となっている菌はお口の中の病気だけでなく、糖尿病、高血も大きく関与しています。歯周病の治療をしたら血圧が正常値になったというかたもおられます。
定期的なメンテナンスをするということはお口の中の病気を防ぐだけではなく、全身の病気の予防にもなるのです。 |
|
|
|
|
 |
どうしたら歯を残せるのでしょうか? |
 |
ポイントは2つあります。
まずひとつめになぜ歯が悪くなったのか、原因を考え、それをあらためることが必要です。
むし歯であれば食生活に原因があることがほとんどです。甘いものをだらだら食べたり、間をしていれば口の中が酸性になり、むし歯になります。食生活の改善が必要です。歯であれば、歯周病菌を除菌することで歯周病の原因を改善することができます。
ふたつめに大切なのは定期的に歯科医院でメインテナンスを受けることです。
スウェーデンでは、治療ではなく、このメンテナンスに力を入れたことによって、国民の平均残存歯数が飛躍的に向上したのです。
長崎大学歯学部予防歯科の調査によると、以下のグラフのように「症状があるときだけ受診」の方は45歳から徐々に歯を失い始め、80歳ではほとんど無くなってしまっています。
しかし、「定期健診受診」の方は大きく歯を失うことはなく、80歳を超えても2平均5本の歯が残っています。
|
 |
| (長崎大学 新庄教授) |
|
|
健康寿命を伸ばすために定期検診を受けませんか?
もっと詳しく予防方法を知りたいという方は下のボタンをクリックしてください。
毎日歯磨きをしているのにどうしてむし歯や歯周病になるんですか?
という質問をうけることがあります。
実は、毎日歯磨きをしているだけでは、虫歯や歯周病を防ぐことは難しいのです。
それはなぜかというと・・・・
|
|
|

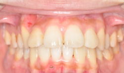
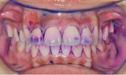
| 一見きれいに見えるお口の中。しかし歯垢が赤や青に染まる液で染めてみると・・・ |
|
|

| 歯と歯の間や、歯と歯ぐきの境目に磨きの残しがあるんです! |
|
今や日本人で歯を磨かない人は、ほとんどいません。
日本人の95パーセントの人が毎日歯を磨いています。
それなのに、虫歯や歯周病になる人が後を絶たないのは、頑張って歯を磨いているつもりでも、磨きの残しがあるからなのです。
|
|
- 歯と歯の間
- 歯と歯茎の境目
- 歯の噛む面にある細かい溝
- かぶせ物が入っている歯の周り
|
 |
こういった部分は歯磨きが難しく、汚れが長い時間留まっているため、汚れが取りにくいのです。そこで注目されているのが、定期検診で行うPMTCというものです。
|
|
|
|
P |
プロフェッショナル(専門家による) |
|
M |
メカニカル(機械的な) |
|
T |
トゥース(歯の) |
|
C |
クリーニング(清掃) |
|
つまり、歯のプロである歯科衛生士や歯科医師が、高度なスキルで歯についた汚れを完全に落として、きれいにします。日常ではお手入れできないレベルのクリーニングです。
PMTCは患者様のお口の状態に合わせて選び抜かれた様々な機械、器具、材料を用いて行う云わば、オーダーメードクリーニングです。クリーニング中も気持ちよくて眠ってしまう方もいらっしゃるくらいです。クリーニング終了後は歯の表面がつるつるになってお口がさっぱりします。
北欧やアメリカなどPMTCを数十年前から行ってきた予防歯科の先進国では、多くの高齢者が入れ歯に頼らず自分の歯でおいしく食べており、PMTCが歯の健康を保つのに効果的であることが実証されています。
- 歳をとってもずっと自分の歯で食べたい。
- 歯をたくさん失って「歯がないことってこんなにつらいことなんだ」と食事の度に後悔するのは嫌だ。
- 食べるたびに「ああ、美味しかった。歯が残っていて本当に良かったな」と思いたい。
そんな方は定期的なPMTCをお勧めします。詳しい内容はスタッフにお尋ねください。
|