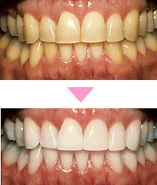
ホワイトニングとは
![]() |
ホワイトニングとは歯磨きや歯のクリーニングだけでは落としきれない着色をきれいにし歯を白くする方法です。 ホワイトニングには種類があり、お口の中の状況や、目的に合わせてどのホワイトニングをするか、選択します。 |
|
|
|||||||||
|
|
|||||||||
|
![]() |
|||||||||
ホワイトニング注意点
- ホワイトニング中は知覚過敏を起こす場合があります。
(ホワイトニングを終了すれば改善されます。) - むし歯や歯周病がある方は、それらの治療が優先されることがあります。
- 人工の詰め物やかぶせ物の色は白くなりません。ホワイトニング後の歯の色に合わせて詰め替えることはできます。
- 妊娠中の方はホワイトニングを受けることができません。
- 年齢制限があります。
(18歳未満の方に対する安全性が確立されていません。)
ホームホワイトニング
ホームホワイトニングとはご自宅で毎日継続的に行っていただくホワイトニングです。
カウンセリングの後に患者さまの歯型にぴったりとあったマウスピースを作ります。ホワイトニング剤を入れたマウスピースを一日に2時間以上歯に装着していただき、2週間ほどかけて歯を白くしていきます。
ご自宅でのホワイトニング方法
マウスピースに歯一本当たり、米粒1つ分程度の薬剤を注入し、歯に2時間以上装着します。ホームホワイトニングで使用する薬剤はオフィスホワイトニングで使用する薬剤に比べ刺激が少ないものを使用しています。万が一飲み込んでしまっても問題のない成分のため、患者様おひとりでも安心してお使いいただけます。
ホームホワイトニングのメリット
- 自宅で好きな時間にホワイトニングが行えます
医院に通う時間がとりにくい方、遠方の方でもマウスピースを作ってしまえばお好きな時間に、ご自宅でホワイトニングを行うことができます。 - 白さが長続きします
オフィスホワイトニングはすぐに白さを実感できるものの長期間その白さを保つことはできません。一方ホームホワイトニングは白くなるまでに時間はかかるものの、元に戻るのもゆっくりです。自然に白くしていきたい方、長期間白さを保ちたい方にお勧めです。 - 1度マウスピースを作ってしまえば継続してホワイトニングケアができます。
オフィスホワイトニングは半年から1年で色が戻ってしまうことが多いため、白さを保つには継続的なケアが必要です。ホームホワイトニングは最初にマウスピースを作ってしまえば、それを続けて使用できるため、白さをずっと保ちたい方にもおすすめです。 - オフィスホワイトニングの着色のある飲食物の摂取制限時間が24時間なのに対して、ホームホワイトニングは2時間とオフィスホワイトニングよりも短い時間で済みます。
ホームホワイトニングの注意点
|
オフィスホワイトニング
歯をできるだけ早く白くしたい方に、歯科医院で行うオフィスホワイトニング
オフィスホワイトニングとは、歯科医院ですべての施術が行われるホワイトニングです。
ご自宅で行うホームホワイトニングに比べ、濃度の高いホワイトニング剤を使うため、短期間で歯を白くすることができます。
オフィスホワイトニングのメリット
- 1回の施術で白さを実感することができます。
(色の変化には個人差があります。)
結婚式や面接試験、発表会などに向けてできるだけ早く、歯を白くしたい方におすすめです。
(初めてホワイトニングをする方は2回以上の施術を受けることをお勧めします) - 歯科医院で行うため、万が一ホワイトニング剤がしみることがあってもすぐに医師に相談ができます。
- マウスピースを装着する手間がありません。
歯並びがよくなかったり、マウスピース装着が困難な方、口の中にマウスピースを入れると嘔吐感を生じてしまう方でも可能なホワイトニングです。
また、マウスピースを毎日2時間ほど装着する時間が継続して取れないという方にもおすすめです。
オフィスホワイトニングの注意点
|
デュアルホワイトニング
すぐに白さを実感さらにその白さが長続きするデュアルホワイトニング。
デュアルホワイトニングとは、オフィスホワイトニングとホームホワイトニングを同時に行うホワイトニングです。オフィスホワイトニングの即効性、ホームホワイトニングの持続性、両方の長所を兼ね備えたホワイトニングです。
デュアルホワイトニングのメリット
- 1回の施術で白さを実感することができ、その白さを持続することができます。
2つの方法を併用して行うことで、オフィスホワイトニングとホームホワイトニング、両方の効果を望むことができます。今すぐ白くしたい、その白さを長続きさせたいという方におすすめです。 - 薬の副作用による変色や、色味の濃い歯にも対応可能です。
歯が変色する理由のひとつに、テトラサイクリンなどの抗生物質の服用によるものがあります。また歯の色味は人それぞれ。クリーニングした後の元々の歯の色が他の人に比べて濃い方もいらっしゃいます。
これらのケースの場合、短時間のケアでは白くなりにくいのですが、デュアルホワイトニングでケアの時間と回数を重ねていくことによりホワイトニング効果をより高いものにできます。
ウォーキングブリーチ
|
むし歯の治療で神経を抜いてしまった歯、転んだり、ぶつかったりして歯を打ちつけてしまい、神経が死んでしまった歯は時間が経つにつれ、黒く変色してしまいます。 ウォーキングブリーチはこの様に、一本だけ歯の色が変わった歯に対して、歯の中からホワイトニングの薬剤を注入し、歯を白くしていきます。 |
![]() |
ウォーキングブリーチのポイント
ウォーキングブリーチは歯の中から薬剤を注入し、白くしていきますが、それに加えてオフィスホワイトニングやホームホワイトニングを行うことにより、歯の外からもホワイトニング剤を作用させることで、より高い効果を得ることができます。
ウォーキングブリーチの注意点
|
歯茎のホワイトニング
「昔から歯ぐきが黒ずんでいる」
「歯ぐきの色が気になって思いっきり笑えない」
など笑ったときに見える歯ぐきの黒ずみはメラニン色素沈着が考えられます。
当院は炭酸ガスレーザーという機器を用いて、黒ずんだ歯ぐきをきれいにしています。
一回の治療時間も短く、麻酔をして行うので痛みもありません。
メラニン色素とは?
メラニン色素は身体を守る役割があります。お肌にできるシミもメラニン色素が原因です。お肌は紫外線などの強い刺激をうけると、お肌を守るためにメラニン色素を生成します。歯ぐきの黒ずみも、お肌のシミと同じようなもので、何かしらの刺激に対して身体を守るために生成されます。
メラニン色素が沈着して、黒ずみ歯茎を作ってしまう原因には次のようなものがあります。
- もともとメラニン色素が多い
もともとメラニン色素が多い人は、歯茎もメラニンによる着色が起こりやすいとされています。 - 喫煙
タバコに含まれる有害物質が歯ぐきを刺激すると歯ぐきを守るためにメラニン色素が生成されます。 - 間違ったデンタルケア
歯磨きの際に力が入りすぎていたり、間違ったデンタルケアがメラニン生成の原因になることもあります。強い刺激を与えずに、適切なデンタルケアを行うことが大切です。 - メラニン色素以外の黒ずみ
治療で使用している金属が歯ぐきに溶け出す
歯根やかぶせものに使われている金属イオンが原因で歯茎が黒っぽくなります。「メタルタトゥー」と呼ばれるものです。この場合はかぶせ物を金属が使われていない物にやりかえる必要があります。
「歯ぐきの色は変わらない」とあきらめていませんか?
歯ぐきの黒ずみでお困りの方は是非一度ご相談下さい。










