![]() |
むし歯・歯周病 編
お子さんのむし歯予防、将来に向けての歯周病予防は赤ちゃんがおなかの中にいるときから始まっています。
![]() |
むし歯や歯周病の原因はお口の中にいる菌が原因です。
生まれたばかりの赤ちゃんには、むし歯菌や歯周病菌はいませんが、お父さんやお母さんのお口の中にむし歯菌や歯周病菌がいると、様々なスキンシップ、お箸やコップの使い回し、くしゃみなどで赤ちゃんに悪い菌がうつってしまいます。
しかし赤ちゃんに対するスキンシップはとても大切なものです。
また、お父さんやお母さんのお口のなかには、むしろ、うつったほうが良い、善玉菌もいます。
赤ちゃんをむし歯や歯周病の菌から守るためにはどうしたらいいのでしょうか。
その答えは・・・
お父さんもお母さんもお口の中の悪い菌をやっつけて常に口の中をきれいにしておくということです。そのためにはまずご自身のお口の中の状況を把握するために定期検診を受けましょう。
お母さんは妊婦健診で歯医者さんを受診する機会があるかと思いますが、レントゲンの撮影に制限があったり、妊娠時期によってはできる治療が限られてくるものもあります。
出産後は育児に追われて自分の歯どころではなくなってしまうでしょう。
また、お父さんは、お仕事が忙しく、「しばらく歯科医院に行ってない。」もしくは、「歯科医院には詰め物が取れたときに行くくらい。」ということもあるのではないでしょうか。
お口の中の状況にもよりますが、歯医者さんでの本格的な治療にはどうしてもそれなりの期間がかかってしまいます。赤ちゃんができた!赤ちゃんを授かりたい!という方はできるだけ早く治療を済ませ、きれいなお口で赤ちゃんの誕生を迎えましょう!
すでにお子さんがいらっしゃる方も、気付いたときが一番早いときです!
ご家族で定期検診を受けましょう。
お口の中の菌は風邪のように人から人へ感染していくものです。お父さんやお母さんだけでなく、おじいちゃん、おばあちゃんや周りの大人の方も一緒にお口の中をきれいにすることがとても大切です!ぜひご家族みんなで定期検診を受けましょう。
歯並び 編
「乳歯のときは歯並びがきれいだったのに永久歯になると乱れてしまった。」
Qなぜこのようなことが起こるのでしょうか?
![]() |
|
![]() |
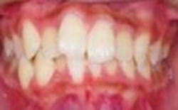
それは、永久歯が生えるためのスペースが足りないからなんです。
左上の写真は一見するときれいに見えますが、実は歯並びが悪くなるかもしれない歯並びなのです。
歯の大きさは乳歯よりも永久歯のほうが大きいので、実は乳歯のときの歯並びは、下の写真のようにすきっ歯でなければ、永久歯が生えてきたときには歯並びが悪くなる可能性が非常に高いのです。
![]() |
歯の大きさは、大きい子もいれば小さい子もいます。
歯の大きさ自体は変えることができません。
しかし顎(歯が生えるスペース)の大きさは日常の生活習慣で変えることができます。
Q顎のスペースを広げる習慣とは?
答えは・・・前歯で噛む、何回も噛む!ということなんです!
噛むという行為をしっかり行うことによって顎は成長します。
こんな習慣はありませんか
- お肉や歯ごたえのあるものが苦手
- 食卓に常にお茶や水がある
- お料理は食べやすいように小さく刻み、しっかり煮込んで柔らかくしている
- テレビをみながら食事をする
これらの習慣はお子さんの顎の成長のチャンスを逃す習慣なのです。
改善していただきたいこと
![]() |
- お母さんはお料理の手抜きをして下さい。できるだけ包丁を使わず、食材は一口では食べられないようにして出してあげましょう。食材は煮込みすぎず歯ごたえを残しましょう。そうするとお子さんも前歯という包丁を使うことができるのです。
- よく噛むためには堅いものというより、お肉、イカ、ゴボウなどたくさん噛まないと飲み込めない繊維質のものを出してあげましょう。
- お水で食材を流し込まないようにお茶やお水を食卓からなくしましょう。
- 噛むことに集中するため食事中はテレビを消しましょう。
これらのことを実践すると顎の成長が促されます。
そして、歯並びだけでなく、顔だちまでも変わっていきます。
乳歯列で歯と歯の間に隙間がない、すでに歯並びが悪いという方は上記の習慣をしっかり身につけましょう。「矯正」というと、どうしても矯正器具のほうに目が行きがちですが、一番大切なのはどうして歯並びが悪くなったか原因を考え改めていくことなのです!
注意点
歯並びではなく、受け口になっているというお子さんは、噛んでいれば受け口が改善するというわけではありません。受け口の場合はできるだけ早く発見し、矯正治療を開始しましょう。
取りかかりが早いほど早期に改善しやすくなります。(今では3歳くらいから治療が可能です。)大人になってからの受け口治療は大変になってしまいます。
またすでに永久歯が生えて乱れているというお子様はお口の中の状況によっては矯正器具での早期治療が必要な場合があります。
当院で行っている矯正床治療は歯を抜かずに、歯が生えるスペースをつくって歯並びを整えていくという治療法です。小学校の低学年で矯正を開始されている方のほうが、高学年や中学校で始めた方に対して、矯正期間も費用も少なくて済む割合が高いです。
永久歯が生えそろうのを待たず、歯並びで気になることがあれば何でもご相談下さい。
歯並びが悪いとむし歯や歯周病によって歯を失うリスクも高くなります。
お子さんの歯並びをみてほしい。またお父さん、お母さんも歯並びにコンプレックスを持っていて矯正に興味があるというときは、矯正のご相談を無料で行っておりますのでお気軽にご予約下さい。













