歯周病について
当院は顕微鏡でお口の中をチェックします。歯周病が見つかったらお薬で退治します
![]() |
歯周病は歯の表面につくプラーク:歯垢(写真:細菌の塊り)によっておこる文字通り「歯の周りの病気」です。
歯肉の炎症による出血、腫れを特徴とする歯肉炎と、歯を支えている歯槽骨が破壊される歯周炎に分けられます。
世間一般で言われている歯槽膿漏は歯周炎です。
通常は物をかじったりしただけでは歯茎から血は出ません。歯茎の腫れや出血がある場合は歯周病が考えられます。歯周病は成人の80%以上が罹患するといわれています。
歯周病の変化と症状
![]() |
健康な歯茎 歯周病は歯肉溝からはじまります。 |
|
|
|
![]() |
歯肉炎 歯肉溝にプラークがたまり、歯肉が炎症で腫れて、歯肉ポケットになっています。まだ歯根膜や歯槽骨は破壊されていません。 |
|
|
|
![]() |
軽度歯周炎 歯肉の腫れが大きくなり、歯周病菌が歯周組織に進入し、歯槽骨や歯根膜も破壊され始めています。プラークや歯石が歯周ポケットにたまっています。 |
|
|
|
![]() |
中等度歯周炎 炎症が拡大して歯槽骨も歯の根の長さの半分近くまで破壊され、歯がぐらつきはじめました。歯周ポケットも深くなっています。 |
|
|
|
![]() |
重度歯周炎 歯槽骨が半分以上破壊され、歯はグラグラして抜け落ちる前の状態です。 |
![]() |
|
歯周病の治療
歯周内科治療は位相差顕微鏡で、お口の中に感染している細菌・真菌・原虫などを特定し、動画管理システムに記録しそれらの微生物に感受性の ある薬剤を選択し、微生物叢を非常に綺麗な状態に改善することで歯周病を内科的に治す治療方法です。
治療前の非常に汚れた微生物叢が治療後 は非常に短期間で綺麗に改善し、術前・術後の状態が一目瞭然に画像で示されるという利点があることが知られています。
また、はっきりと自覚 できる程、歯茎からの出血や排膿が短期間で改善されます。以前は、長時間歯磨きや外科治療によって1~2年の治療期間でそのような綺麗な微 生物叢を獲得していたのです。
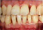
治療前
|
|
治療後
|














